歯科用CTについて
CT撮影装置について
駒込にある歯医者・しもふり橋デンタルクリニックでは、患者様により安全、より安心、より確実な治療を受けていただくために、より正確な診査診断が可能な歯科用CT撮影装置を導入しています。

歯科用CTの役割とは?
一般的な歯科用レントゲン画像は、二次元的な平面で撮影されているものであります。
歯科用CTとは、頭頚部に特化した三次元的に撮影されるものであります。
三次元的方向から撮影されることにより二次元的に撮影されたレントゲン画像より診査・診断に必要な情報を多く得ることが出来ます。

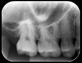
一般的な歯科用レントゲン
一般的な歯科用レントゲン画像は直線的に撮影した情報を見ることが出来ます
歯科用CT
一般的な歯科用レントゲン画像と比べて歯科用CT画像は上・正面・横から撮影する事が出来ます。
これにより多くの情報を得ることが出来ます。

歯科用CTの見え方

この図は正面からおもちゃのブロックを撮影した写真です。
直線的な画像になるので一般的な歯科用レントゲン画像と似ている写りになります。
歯科用CT
この図はおもちゃのブロックをCTと同様に上・正面・横から撮影した写真です。
直線的な画像と異なり正面からの画像では見ることが出来なかった様々な情報を得ることが出来ます。


歯科用CTにより多くの情報を得ることが可能となりましたが、二次元的な歯科用レントゲン写真と比べ被曝量も多い事も事実です。
駒込にある歯医者・しもふり橋デンタルクリニックにおいて歯科用CT撮影をする場合は、患者様におかれてより有用性がある場合に撮影の提案をさせて頂いております。